Carillas dentales: cuáles son sus beneficios
Las carillas dentales se han convertido en uno de los tratamientos más demandados en estética dental. Pero más allá de la tendencia, es importante entender para qué sirven realmente y por qué pueden ser una excelente opción en determinados casos.
No se trata solo de “blanquear” la sonrisa, sino de mejorar forma, proporciones, color y armonía de manera planificada y personalizada.
¿Qué son las carillas dentales?
Las carillas son láminas finas de porcelana o composite que se adhieren a la parte frontal del diente. Su objetivo es mejorar la estética dental respetando al máximo la estructura natural.
Se diseñan de forma individualizada para cada paciente, teniendo en cuenta:
Forma del rostro.
Línea de sonrisa.
Proporciones dentales.
Color natural del diente.
Cuando están bien planificadas, el resultado es natural y equilibrado.
¿Para qué están especialmente indicadas?
Las carillas pueden ser una solución muy eficaz en casos como:
Dientes fracturados o desgastados.
Manchas que no responden a blanqueamiento.
Alteraciones de forma o tamaño.
Espacios entre dientes (diastemas).
Leves desalineaciones.
Dientes con bordes irregulares.
En estos casos, permiten mejorar la estética sin recurrir a tratamientos más invasivos.
![]()
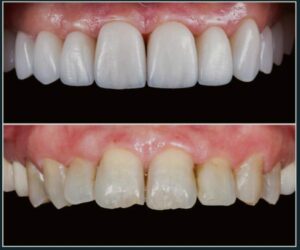
Principales beneficios de las carillas dentales
Uno de los grandes beneficios es que permiten transformar la sonrisa de forma rápida y controlada, pero no es el único.
Entre sus ventajas destacan:
Resultado estético muy natural.
Se integran con el resto de los dientes cuando están bien planificadas.Corrección simultánea de varios aspectos.
Color, forma, tamaño y proporción en un solo tratamiento.Mínima invasión.
En muchos casos se realiza un desgaste muy conservador del diente.Alta durabilidad.
Especialmente en el caso de carillas cerámicas.Mejora de la confianza y autoestima.
Una sonrisa armónica influye directamente en la seguridad personal.
¿Son solo estéticas?
Aunque su principal objetivo es estético, también pueden aportar beneficios funcionales. En casos de desgaste dental leve, pueden ayudar a recuperar la forma y proteger la superficie del diente.
Sin embargo, es fundamental realizar un diagnóstico previo completo para determinar si el caso es adecuado para este tratamiento.
![]()
La importancia del diagnóstico y la planificación
No todos los pacientes necesitan carillas. En algunos casos, un blanqueamiento o una ortodoncia pueden ser la mejor opción.
Por eso, antes de realizar cualquier tratamiento estético, es imprescindible:
Evaluar la salud dental y periodontal.
Analizar la mordida.
Planificar digitalmente el diseño de sonrisa.
Estudiar el color y la armonía facial.
Una buena planificación es la clave para que el resultado sea predecible y estable a largo plazo.
¿Son para todo el mundo?
Las carillas son una excelente opción cuando están bien indicadas. No son una solución rápida universal, sino un tratamiento que debe adaptarse a cada caso.
Cuando el diagnóstico es correcto y el paciente está bien informado, los resultados suelen ser altamente satisfactorios.
En Carrero & Tezza Dental entendemos que una sonrisa armónica no es cuestión de improvisación. Por eso trabajamos con diagnóstico preciso, planificación digital y criterio clínico para ofrecer resultados naturales, equilibrados y duraderos.

