El aeropulidor dental combina aire, agua y polvo fino para eliminar biofilm y placa con mayor precisión y menor irritación.
Ver artículo
Un implante dental no es solo colocar un tornillo. Detrás hay diagnóstico, planificación y un proceso preciso para recuperar función y estética de forma estable.

Cada vez más adultos recurren a la ortodoncia no solo por estética, sino para mejorar la mordida, la higiene y la estabilidad dental a largo plazo.

El bruxismo es una de las principales causas del desgaste dental. Detectarlo a tiempo permite evitar sensibilidad, fracturas y pérdida de estructura dental.

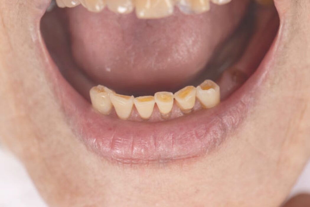
El desgaste dental no siempre está relacionado con la edad. Puede provocar sensibilidad, fracturas y cambios en la sonrisa. Detectarlo a tiempo permite proteger los dientes y evitar tratamientos más complejos.

Una revisión dental no es solo una limpieza. Permite detectar caries sin tratar, inflamación de encías y otros problemas antes de que aparezcan síntomas, facilitando tratamientos más conservadores.

Una caries no tratada puede avanzar desde el esmalte hasta afectar al nervio y provocar infecciones. Detectarla a tiempo permite tratamientos más conservadores y predecibles.

La formación continua es esencial para ofrecer tratamientos más precisos, seguros y adaptados a cada paciente. En Carrero & Tezza (León) apostamos por la actualización constante del equipo como base de una odontología moderna y mínimamente invasiva.

La cantidad de encía, su proporción y simetría influyen en la estética de la sonrisa. Descubre por qué es un factor clave en odontología.

Descubre por qué algunas sonrisas parecen artificiales y qué factores influyen en una estética dental natural y equilibrada.

Descubre cuánto dura una prótesis dental y qué cuidados son clave para mantener su estabilidad, funcionalidad y estética a largo plazo.
