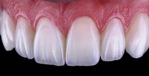
Cómo influye la encía en la estética de la sonrisa

Cuando se analiza una sonrisa, no solo se valoran los dientes. Uno de los factores que más condiciona el resultado final es la cantidad de encía que se muestra y cómo se integra con el resto de la cara.
En estética dental, el equilibrio entre dientes, encía y labios es lo que determina si una sonrisa se percibe como natural o no.
La cantidad de encía que se muestra al sonreír
Uno de los aspectos más importantes es la exposición gingival.
En condiciones consideradas estéticas, la sonrisa muestra una cantidad limitada de encía. Cuando esta exposición es excesiva o, por el contrario, demasiado escasa, puede alterar la percepción global.
Este equilibrio depende no solo de la encía, sino también del movimiento del labio y de la posición de los dientes.

Proporción entre encía y diente
La relación entre la longitud del diente y la encía visible es clave.
Dientes que parecen cortos, muchas veces no lo son realmente, sino que están cubiertos parcialmente por encía. Esto afecta a la proporción y puede hacer que la sonrisa se vea menos equilibrada.
En estética dental, ajustar esta relación permite mejorar la armonía sin necesidad de modificar el diente en sí.
Simetría gingival y percepción visual
El ojo humano detecta fácilmente las asimetrías.
Cuando el contorno de la encía no sigue una línea coherente entre un lado y otro, la sonrisa puede percibirse como irregular, incluso aunque los dientes estén alineados.
La simetría no tiene que ser perfecta, pero sí debe ser equilibrada.

La encía como marco de la sonrisa
La encía actúa como un marco que rodea los dientes.
Si ese marco no es adecuado, el resultado global se ve afectado. Por eso, en muchos tratamientos estéticos, no se actúa únicamente sobre el diente, sino también sobre la encía para mejorar el conjunto.
Este enfoque está respaldado por la odontología estética actual, que analiza la sonrisa como una unidad.

Diagnóstico global: clave en estética dental
Una sonrisa estética no se diseña por partes.
Evaluar la relación entre encía, dientes y labios permite planificar tratamientos más precisos y adaptados a cada paciente.
En Carrero & Tezza analizamos la sonrisa desde un enfoque global, donde cada elemento influye en el resultado final y la planificación es clave para lograr un equilibrio natural.

